目(まぶた)の印象を改善する手術
〜 Esthetic Plastiic Surgery for Eyelids 〜

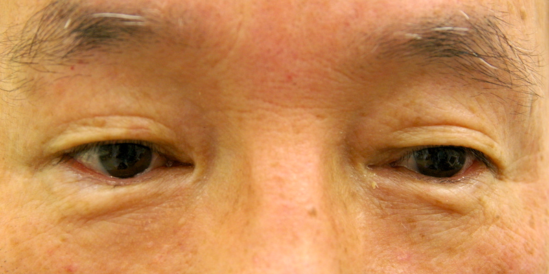
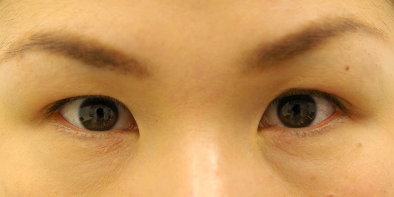
重瞼手術術後 大江橋クリニック

大江橋クリニックは 目の印象を良くする治療をしています

  • 瞼のたるみをとる・目の印象の好感度を上げる手術を行っています
  • 眼瞼下垂症の診断や自然で違和感のない手術を得意としています
  • 他院で行った手術の修正希望の方は前医の紹介状をお送り下さい

第一印象は目の表情で決まります 清々しさも優しさも凛々しさも作れます

男性重瞼切開法術前 大江橋クリニック 男性重瞼切開法術後 大江橋クリニック
眼瞼下垂症術前 大江橋クリニック 眼瞼下垂症術後 大江橋クリニック
重瞼切開法術前 大江橋クリニック 重瞼切開法術後 大江橋クリニック
眼瞼瘢痕他院修正術前 大江橋クリニック 眼瞼瘢痕他院修正術後 大江橋クリニック
男性顔面外傷瘢痕術前 大江橋クリニック 男性顔面外傷瘢痕術後 大江橋クリニック
眼瞼下垂症術前 大江橋クリニック 眼瞼下垂症術前 大江橋クリニック
男性眼瞼黄色腫術前 大江橋クリニック 男性眼瞼黄色腫術後 大江橋クリニック

目的に応じて様々な工夫をしています

ここにあげた写真は、大江橋クリニックで手術した患者さんの術前術後写真の一部です。一般の美容外科のサイトによくある、メニューや料金表の添えられたいわゆるビフォーアフター写真ではなく、瞼の手術によって印象は大きく変わることを心に留めていただくためにイメージ写真として掲載したものです。それぞれの患者さんが何に悩み、どのような変化を希望し、その希望は叶ったのか、といった説明は必要に応じて他の場所に詳しく書く予定です。

眼瞼下垂の治療や瞼のたるみとり、一重瞼をきれいな二重に、けがの後遺症を改善する、涙袋をさりげなく目立たせたい、目の周りの目立つホクロやできものを傷痕を残さずに取りたい、うまくいかなかった美容手術の修正。様々な目的で瞼の手術は行われます。その人ごとに異なる条件のもと、大江橋クリニックは、できるだけご希望に沿った結果を出そうと頑張っています。

一人ひとり、改善のポイントは異なります

二重になればいい、ぱっちり開けばいい、とおっしゃっていたとしても、実際には多くの方は単にこの人は重瞼とか、たるみ取りとか、眼瞼下垂とか、簡単に分類できないさまざまな工夫を要する症状をお持ちです。例えば皮膚のたるみは前医の手術で過剰に切り取られでもしていない限りほとんどの方にみられますし、脂肪の量や筋肉の厚みは同じ方でも左右でかなり異なることがむしろ普通なので、どの程度切除するのか位置を調整するだけに止めるのかなど術中に左右ごとに判断しなければならない場合が多々あります。術中に自由に判断して最善の結果を得るために、大江橋クリニックの手術料は、あえて細かく術式ごとに分けないいわゆるどんぶり勘定にしています。

症例:重瞼作成+皮膚切除(たるみとり)+腱膜固定
重瞼修正術前 大江橋クリニック 重瞼修正術後 大江橋クリニック

お悩みの原因を探り、その人ごとに向いた手術を計画します。たとえばこの方は重瞼希望でしたが、うっすらと重瞼ラインはあるもののはっきりせず、日によっては消えてしまうとのことで、くっきりと細いラインがご希望でした。瞼のたるみもあり眉が上がって眼瞼下垂のような表情になっていました。生まれつきの薄いラインは睫毛の生え際から11ミリにありましたので、そこから下の皮膚と眼輪筋を4ミリ幅で切除し、睫毛側の皮膚を瞼板に留めて二重の幅を固定し、眼瞼挙筋腱膜は少しだけ前転しました。腫れが治ると眉も下がり瞼のカーブも美しく整いました。(右は術後1年4ヶ月の写真です)
症例としての詳しい解説は、別ページでご案内します。(症例準備中)

お決まり:手術料は当時の重瞼切開法の料金です。手術結果や経過には個人差があります。

瞼の美容手術にかかる費用

一般的な両側上眼瞼の美容手術のめやすはおよそ44万円

上記は診察料・検査料・予約料等を含めた総額の税込表示になります。

瞼の美容手術の手術料は、細かい術式の違いにこだわらず、上眼瞼の場合は概ね税抜35万円としています。他に初診料、検査料、予約料、術後の再診療、処置料などが必要ですが、順調に経過すれば総額で上記金額くらいに収まります。手術料は通常事前の銀行振り込みとなります。

他の眼瞼手術の費用について

再発や修正などの再手術も初回手術と同額です。下眼瞼の場合は手術料本体を税抜40万円としています。
ただし他院の術後トラブルをお引き受けする場合、修正手術料は税抜50万円〜60万円になります。(ご相談内容によります。)

瞼の手術は通常両側を同日に行いますが、もし片側のみ行うとすれば、手術料は概ね両側の2/3程度にしています。詳しくは上記のリンクから自費料金表を参照してください。
できものの切除や傷跡など、症状によって大きく難易度が異なるものについては、ご相談の上減額・増額することもあります。

※  皮膚科やアレルギー科の治療を同時に行う場合や、術後経過によって必要なお薬が増えた場合、レーザー治療を併用する場合などは、別に費用負担が発生します。保険診療可能な分については保険を適用することもあります。

目(まぶた)の印象を改善するとはどういうことか

患者さんは自分の気になるところしか見えていない

目は顔の印象を決定づける重要なポイントですが、重瞼や瞼のたるみとり手術をすれば問題が全てが解決することはなく、あくまで瞼の手術はトータルな美容治療の一環であり一つのステップでにすぎないと思います。
例えば下瞼のたるみ、クマが気になるというご相談は多いですが、それではとたるみ取り手術や脂肪切除を勧めるのでは本当の解決にはなりません。患者さんの本当の悩みは「若々しい溌剌とした表情の喪失」なのです。顔全体の皮膚の衰え、表情筋の弛み、上眼瞼の落ち窪み、笑いの少ない目元などの総合的な結果として下眼瞼が弛んでくるので、顔全体の肌の引き締めを図り、上眼瞼をきれいに整え、目の周りの皮膚トラブルが落ち着いてから改めて、本当に下眼瞼の手術が必要なのか改善方法を再検討するべきなのです。

多くの場合、患者さん自身には自分の気になるパーツの一部分しか目に入っておらず、下瞼が気になる人は頬や上瞼がたるんでいることに気付いていないか、それは後回しで良いと思っています。しかし、顔の中で瞼の果たす役割は家に例えれば窓や玄関に相当します。柱が傾いていたり屋根が傷んでいる家で窓だけ修理しても快適には暮らせません。私たちは診察を通してそうした気づきを喚起し、正しい順番で土台からきちんと立て直しを図ることを提案しています。

瞼の手術の種類

大江橋クリニックでは、瞼の美容手術を細かく分類せずに、大きく「上眼瞼」「下眼瞼」「できものの切除と再建」「傷跡や左右差の修正」「他院術後の修正」のように分けて、それぞれをまとめて解説しています。

上眼瞼の手術

大江橋クリニックで行う上眼瞼の美容手術

イメージ画像

大江橋クリニックでは瞼の形を手術によって改善しようという時、まず顔全体の中でのその人の目、瞼がどのような状態にあるか、何から手をつけるべきかを患者さんとじっくりご相談することにしています。
その上で上眼瞼の手術をご提案させていただく場合、多くは「重瞼切開法」「瞼のたるみ取り」「眼瞼下垂症手術」を合わせたような手術になります。多くの方に適応があり、適切に行えばほとんどすべての方に何がしかの表情の改善が得られます。
重瞼ラインで皮膚のたるみを切り取るとともに眼瞼挙筋腱膜の前転またはタッキング処理を行います。他の美容外科では「眼瞼下垂症手術」として行われているものに近い方法だと思います。

年齢が若く皮膚に弛みがなくて、一重瞼が気になり埋没法などをご希望の場合は、診察の上ご相談に応じます。

下眼瞼の手術

eyemake

下眼瞼の手術は「涙袋」の作成やクマの改善を目指す手術です。一般には、「脱脂術」などといって眼窩脂肪を切除することが多く、最近ではハムラ法などが流行していますが、そうした手術は気軽にするべきではないと考えています。大江橋クリニックでは、まず上眼瞼の手術を行なっても十分な改善が得られない場合に限り追加的に行うことが多く、脂肪は取らず皮膚と筋肉を引き締める方法を多く用います。手術時間は長くダウンタイムも生じますが、若返り効果は大きくなります。

瞼周囲のできものの切除と再建

瞼周りのホクロや眼瞼黄色腫、汗管腫、皮膚皮様嚢腫、各種母斑、脂漏性角化症、脂腺増殖症などで、切除すると瞼の形が変わってしまうようなできものを綺麗に切り取る手術です。通常は切除後にできた欠損を皮弁を使って再建します。
ダウンタイムはありますが、見た目の印象はかなり改善します。傷痕が目立ちやすい体質の場合は、術後長期の経過観察が必要になります。

傷跡や左右差の修正

事故や幼い頃のケガの後などで瞼周辺に目立つ傷跡が残った場合、Z形成などの形成外科的工夫や皮弁を用いた再建、皮膚皮下組織の移植などを行なって自然な瞼を作ります。目の形の左右差は多くの場合骨格の差であり、そうした場合は簡単に治すことはできませんが、先天性眼瞼下垂やケガの後、麻痺などで生じた場合は美容的な手術で改善することができます。

他院術後の修正

他の美容外科・形成外科で受けた手術の結果がご希望通りにならず修正を希望される場合は、まず執刀した主治医とご相談してみてください。執刀医の再手術を受けることがためらわれる場合には、一旦セカンドオピニオンとしてご相談をお受けし、大江橋クリニックで修正手術が可能と判断した場合に「修正手術」をお引き受けします。
多くの場合素直に結果が出ない理由があるはずなので、それを探りながらの手術となり、瘢痕に切り込むため出血や腫れも大きくなります。時間をかけて丁寧に処理する必要上手術時間も長くなるため、手術費用は高めに設定しています。ご了承ください。

眼瞼下垂症の診断、治療について

眼瞼下垂症の診断、手術を専門的に行います

大江橋クリニックは、開院以来自然で美しい仕上がりを目指す眼瞼下垂症手術を診療の柱の一つとして積極的に行なってきました。以下は簡単な説明です。別に特集ページを設けたので、詳しく知りたい方はそちらも参照してください。

眼瞼下垂症手術 ↑  [症例1] よりの引用

なんとなく瞼が重い、目を見開こうとすると眉が上がってしまう、上の方が見えにくい、遠くを見ようとすると顎が上がってしまう、首や肩が疲れる、写真を撮られる時いつもシャッターチャンスが悪い、左右の眉の高さが違ってきた、疲れているわけでもないのに眠そうと言われる、眼科の検査の時瞼を持ち上げられる、ウィンクがうまくできない、などの自覚症状がある方は、眼瞼下垂症かもしれません。
眼瞼下垂=瞼が下がる、と簡単に説明される事が多いのですが、眼瞼下垂と呼ばれる症状には、瞼を持ち上げる筋肉(上眼瞼挙筋やミュラー筋)の異常で起こる「眼瞼下垂症」という病気と、筋肉に異常はないが皮膚のたるみや神経の病気が原因だったり、眼瞼挙筋以外の様々な目や瞼に関係する筋肉の病気であったり、様々な場合があり、正確に診断をつけるのは結構難しい事が多いのです。

正しい診断をつけずに、あるいは目がぱっちりする手術だからと安易に考えて「眼瞼下垂症手術」を受けると、期待していたような結果とは程遠い仕上がりとなり、場合によっては修正するために様々な手術を何回も受けなければならなくなることもあります。手術前の診察はとても大切です。眼科医であっても瞼を専門としていない医師には正しい診断ができないことがあります。

正しい診断に基づき 自然な瞼を目指します

眼瞼下垂症の診断をご希望の方は上記予約サイトにある「予約フォーム」から院長の診察予約を取ってください。初診の診察料は通常5,500円(税込)です。(自費料金表
眼瞼下垂症かもしれない場合だけでなく、瞼の形や見た目が気になり改善したい場合、まず症状や原因について事前に十分な検討を行い、なるべく正確な診断をつけてから、それぞれの方にふさわしい手術法で治療を行うように努力しています。瞼の形が気になる方は、まず院長の診察をお受けください。
診察の結果眼瞼下垂症ではなかった場合でも、「眼瞼下垂症ではありませんでした」と言って終了するのではなく、患者さんのお悩みの症状ができるだけ改善するような他の手術法を提案したり、手術以外の治療を提案したりしています。

眼科系の先生にありがちな、単に目が開けばいいでしょうといった美容的に不十分な手術、逆に美容外科系の先生に多い、確定診断が不十分なまま一律に不適切な眼瞼下垂症手術を行い結果的に瞼の症状が改善しないというケースは、結局は修正再手術が必要となり患者さんの負担が増します。
大江橋クリニックの手術が最良というつもりはありませんが、万一十分な結果が出なかった場合もその原因を慎重にさぐり、再手術が必要な場合も術式を工夫して、多くの方に手術してよかったといっていただける結果を出しています。

大江橋クリニックで行なっている眼瞼下垂症の手術については、眼瞼下垂の特集ページにまとめてあります。ご参照ください。

眼瞼下垂症術前 大江橋クリニック 眼瞼下垂症術前 大江橋クリニック
眼瞼下垂症術前 大江橋クリニック 眼瞼下垂症術前 大江橋クリニック

※  実はさまざまな症例を並べようと開院以来の眼瞼下垂症の患者さんの写真を見直しているのですが、この十年くらいを見ても手術がどんどん上手くなっている感じがして、古い症例はどうしても見劣りがすることに気がつきました。その時その時で最善を尽くしてきたのですが、過去の患者さんには申し訳ない思いがします。しかしむしろ、一度では上手くいかなかった症例とか経過が順調ではなかった患者さんに焦点を当てた方が、こうしたページを読んでくださいる患者さんには参考になるかと思い、現在古い手術症例を中心に選定中です。このサイトで解説に取り上げている写真の多くは開業後数年の、今から15年以上前のものです。

瞼のたるみ取り手術(除皺術)

ほぼ全ての大人は男女を問わず、瞼の皮膚が弛んでいます。適切な幅で上眼瞼の皮膚を切除することで、目が開きやすくぱっちりとした明るい表情になります。
下眼瞼の皮膚も弛みますが、下眼瞼に対しては皮膚切除ではなくその下の眼輪筋を引き締める方が自然さを保つことができます。脂肪を切除したり、ハムラ法などで眼窩脂肪を傷つけると、その場は改善したように見えても1〜二年後に不自然さが顕在化してくる恐れがあります。
詳しくは下記の特集ページをご覧ください。

涙堂形成術:いわゆる涙袋をつくる

下眼瞼除皺術と同様の切開から、ずり落ちた瞼板前眼輪筋を引き上げて固定する手術です。
皺とり術を行なうと涙袋がなくなってしまうなどという人がいますが、それは皮膚を引き上げる際に単純に組織を切除してしまうからです。
瞼板前眼輪筋は加齢とともに緩んで徐々に下に移動しますので、引き締めながら重ね合わせて固定する必要があります。
効果がありますが、皮下出血は必発で、ある程度のダウンタイムを覚悟する必要があります。

下の症例(上段:術前 下段:6日目抜糸時)は遠方のため患者さんの都合に合わせて通常より1日早い6日目に抜糸した時のものです。まだはっきりと下眼瞼に黄色い内出血の跡が広がっています。

生まれつき涙袋がなく、他院美容外科で脂肪注入も受けたがまだって改善しなかったとのことで、異物や人工物ではなく自分の筋肉で涙袋を作りたいと希望して受診されました。
下眼瞼の縁を切って皮膚を剥離し、下にずり落ちていた眼輪筋の瞼板前部を引き上げて瞼板の固定する操作を行いました。皮膚と筋肉の間を剥離するため、皮下出血は剥がした皮膚の全面に広がり、2週間ほどかかって徐々に引いていきます。

症例: 涙堂(涙袋)形成術の例
涙堂(涙袋)形成術術前 大江橋クリニック 涙堂(涙袋)形成術術前上方視 大江橋クリニック
涙堂(涙袋)形成術術後 大江橋クリニック 涙堂(涙袋)形成術術後上方視 大江橋クリニック

涙袋の形成術に関しては、今後内容を充実させていきます。

眼瞼周辺の腫瘍(できもの)の摘出と再建

まぶたのできものを目の形を考えて切除する

眼瞼下垂だけでなく、切除すると大きな欠損が生じる眼瞼黄色腫、まぶたの縁にかかるほくろなど切除後に再建を必要とする腫瘍切除や、他院の手術後に瞼が閉じなくなったり左右非対称になったりした瞼の傷跡の修正などを行ったり、通常の美容外科ではなかなか対応できない高難度な手術も行います。その場で見た目を出来るだけ良くすることも大事ですが、患者さんの5年後、10年後を想像して、再発や加齢による変形が予想される場合、その時困らないように今切り札を使ってしまわず温存する必要も出てきます。

大江橋クリニックで行った瞼周辺の腫瘍の手術例

症例: 左 】汗管腫部分切除術後7日目(目立つもののみ切除)
右 】眼瞼黄色腫再発(他院で切除術後再発したので再切除した)

瞼のできもの(黄色種、汗管腫、皮様嚢腫など)やほくろは、そのまま切り取ると変形を残すことがあり、形成外科的な再建が必要となります。

下の例では、目頭にできたホクロを取り、眼瞼周囲に多発した小さな汗管腫を部分切除して、皮膚のたるみも少し減らしました。たるんだ皮膚を少しだけ切除したことにより、上眼瞼の凹みも下眼瞼のたるみも改善しています。

瞼および周辺の色素性母斑(ほくろ、黒子)

黒く丸いできものとして知られるホクロは、医学的には色素細胞性母斑、母斑細胞性母斑、メラニン細胞性母斑などと呼ばれます。
「母斑」とは「アザ」のことで、生まれながらに存在することを示しています。
実際には大人になり、おおよそ30歳を過ぎた頃から目立って数が増えてくることが多いのですが、この場合も「眼に見えないほど小さなものが、もともとその場所にあり、徐々に拡大して眼に見える大きさになった」と考えられます。

生まれた時からある程度の大きさがあり、あまり盛り上がっていない場合は通常「黒アザ」と呼ばれることが多いのですが、組織学的には同じものです。ほくろの上に毛穴があれば、黒く長い毛が生えてきます。

ほくろは黒いとは限らず、メラニン色素をあまり作らないものは色がなくイボのように見える場合もあります。
このためほくろかどうかを肉眼的に判断することは難しい場合もあります。
このような場合には切除して精密検査を行なった方が良いでしょう。肉眼的にはホクロかいぼのように見える悪性腫瘍もあるからです。

ほくろそのものは通常悪性ではありませんが、黒いできもの、丸く盛り上がったできものがすなわちほくろであるとは限らず、ほくろに似た皮膚がん(悪性黒色腫や基底細胞癌など)の場合もあります。
小さいうちに悪性かどうかを肉眼的に判断することは難しい場合があります。

最近はダーモスコープ(皮膚用実体顕微鏡)を用いることである程度見分けがつくようになりましたが、100%確実とはいかず、怪しいものは最終的には切除して精密検査を行なう必要があります。(実際に直径1ミリ〜3ミリ程度の、肉眼的には普通のほくろのように見えた黒いできものが。切り取って検査してみたら悪性腫瘍であった経験は多数あります。)

症例: 目尻のほくろ切除

瞼周囲にホクロやイボなどがあると、それだけで見た目の年齢がかなり上がります。瞼周囲にできたホクロ、イボ、眼瞼黄色腫や汗管腫などの瞼周りに特有なできものを、目の形に変形を残さずきれいにきれいに切り取る手術が行えます。次の例では、目尻にできたホクロを目の形が変わらないように切り取っています。

瞼ほくろ術前 大江橋クリニック 瞼ほくろ術後 大江橋クリニック
症例: 目頭の黒子の例

汗管腫の部分切除に併せて目頭のホクロも切除した。術後写真は2ヶ月半後のもの。まだ赤みと瘢痕が残っている。

同一症例の経過: 左からおよそ半年後、1年半後、11年後。
ホクロの傷痕は全くわからなくなった(汗管腫の切除しなかったものは10年でやや拡大している)

症例: 眉の近くの黒子の例

顔面に多発するホクロを7カ所切除したうちの一部。右は術後6ヶ月
眉の上に三角形の傷痕が残っているのは、眉が上がらないよう下記のような島状皮弁による再建を行なったため

ホクロの切除は自費で行っています

いわゆるホクロを美容的な目的(見た目の改善目的)でとる場合には保険適応となりません。(→ 美容外科)悪性化どうか判断するために保険で調べたいという場合は、お近くの皮膚科・形成外科をご利用ください。
大江橋クリニックでは傷跡を目立たせずきれいに取りたいという方のために自費で手術を行なっています。もちろん上で述べたように皮膚のできものには悪性のものもあり、ホクロのように見えて違うものがたくさんありますので、必要と判断すれば残さず切り取り、確実を期して病理診断を行います。
病理検査は国内でも屈指の皮膚病理診断専門施設である札幌皮膚病理診断科に全例依頼してしています。

黒子を切り取る時は通常は単純切除します(形なりにギリギリに切り取りますが、二重のラインなどが変化しないようデザインには工夫が要ります)。ある程度大きいものは、切り取った後の瞼の皮膚が欠損となりそのままでは塞げないため、皮弁術などの形成外科的工夫をして瞼の再建を行なう必要があります。
傷痕はできる限り小さくめだたなくなるような工夫をしていますが、切除法は部位によって変わります。複数を一度にとる場合など、特殊なデザインを必要とする場合もあります。

瞼の縁や睫毛の間、眉の中などにできたものは、眼の形が変わらないように、毛が欠損しないように様々な工夫が必要です。再発を覚悟の上で毛根を傷めてハゲにならないように浅く削ぎ取るように切除したり、敢えて糸で縫わずに変形を防止したりもします。

もちろん悪性のものなど、より専門的な治療が必要な場合は、しかるべき施設をご紹介いたします。

眼瞼黄色腫

眼瞼黄色腫はレーザーではきれいに取れません

眼瞼黄色腫という、まぶたの上や下に出てくる黄白色の板状の腫瘍があります。脂質異常症だけでなく、最近では心筋梗塞などの循環器疾患との関係も注目されています。

眼瞼黄色腫術中 大江橋クリニック

この出来物は初期のうちは平らに見えるため表面からレーザーで削ろうとする医師がいますが、レーザーで焼くのはよほど小さなものでないと無理です。(右の写真は血管の枝に沿って白っぽい粒々に見える黄色腫が奥の方まで続いている様子を示す。)

通常は単純にできるだけ形に添って切除します。ある程度大きくなると、切除した後の欠損は単純に塞ぐことはできず、そのまま縫うと目の形(特に重瞼ライン)が変わり、皮弁術や全層植皮術などの形成外科的工夫をして再建しないときれいに治りません。

見えているよりも広範囲に深くまで広がっていますから、切り取る事は簡単でも、傷をきれいに治すのは難しい腫瘍の一つです。

症例抜粋

男性眼瞼黄色腫術前 大江橋クリニック 男性眼瞼黄色腫術後 大江橋クリニック
男性眼瞼黄色腫術前 大江橋クリニック 男性眼瞼黄色腫術後 大江橋クリニック

汗管腫

通常は眼瞼の周囲に多発する腫瘍ですが、場合によりこめかみや額、鼻根部まで広がる事もあります。

小さいものがぱらぱらと多発する場合と、つながり合って局面状になる場合があります。本体は皮膚の下にあるのですが、皮膚が白っぽく盛り上がるため、針で穴をあけたり削ったりすれば治りそうに見えます。
実際には深いので切除しないと治癒しませんが、非常に数が多い場合や面積が広い場合、すべては切除しきれません。切り取った後の瞼の皮膚が欠損する場合は皮弁術などの形成外科的工夫をして瞼の再建を行なう必要もあります。
見えているよりも広範囲に深くまで広がっていますから、すべて切り取ってきれいに治すのは難しい腫瘍の一つです。

汗管腫の本体は紫色に染まる表皮よりかなり深いところに広がっています。この深さまで切除しないと治癒しません。

CO2レーザーで蒸散する事もありますが、傷痕が白く目立ちかえって悪化したように見える場合があり、お勧めはしません。
現在のところ一つずつ丹念に切除するのが最も結果が良いようです。通常は片目ずつ、多発しているものを不連続に切り取ると、変形も少なく回復も早いようです。

目立つものを一つずつ丹念に切除縫合し、3〜5日目に抜糸します。術後しばらく赤みが目立ちます。この症例は11カ所切除(手術時間1時間)、3日目抜糸、右は術後7日目の写真。

皮様嚢腫

多くは眼窩の内側か外側に生まれつきある腫瘍です。奇形種の一種で、中には液体とともに毛髪や皮膚の一部、時には歯や骨の組織が含まれることもあります。眉の下の線に沿って切開し、袋を破かないように摘出します。骨に接触している事が多く、深いためにやや慎重な手術が必要です。

症例: 上眼瞼の皮角(脂漏性角化症に続発したもの)

皮角(日光角化症に続発したもの)

症例1: 日光角化症は前癌状態とも言えるので、中央に発生した皮角は切除し病理検査で悪性でないことを確認します。

術前
術後

術後1ヶ月です。腫瘍が重瞼ラインと睫毛の間の盛り上がった部分にあったため、まだ赤みがあり重瞼幅もやや広く腫れていますが、傷跡はほとんど目立ちません。腫れているように見えますが、下のように両目を比較すると1ヶ月後にはさほど目立ちません。

病理

上左は症例1の病理組織像です。表皮突起の著名な延長と角質増加で、疣状の変化を来していることがわかります。

皮角(脂漏性角化症に続発したもの)

症例2: 脂漏性角化症
左:術前 右:手術デザイン このようなデザインにしたのは理由があります

縫合直後と術後1ヶ月です。傷跡は赤みがあり腫れています。肥厚性瘢痕という状態です。本来なら紡錘形(細い木の葉型)に切除して上の症例1のように細い1本の線にすべきところです。
なぜこうなることを予想しながら上手右のようなデザインにしたのでしょうか。
答えは下欄をお読みください。

症例2の病理組織像です。拡大率は違いますが症例1と同じような状態です。

右図は術後1ヶ月の両眼開瞼時。実は患者さんは奥二重でした。
もし安易に紡錘形切除をすると、その瘢痕が重瞼切開法の高い位置どりの重瞼ラインのようになって、左眼だけ幅広の二重になってしまう可能性がありました。
このため、肥厚性瘢痕になる危険を承知で、切開位置に重瞼ラインを作らないようにZ型に切開したのでした。

肥厚性瘢痕は、術後1ヶ月くらいが一番目立ちますが、その後引いて傷も白く柔らかくなります。瞼はケロイドになりにくい場所ですので、長期的には特に心配がありません。

症例: 下眼瞼の表皮母斑(疣状母斑)

生まれつきあるイボの集まりのようなあざ(母斑)です。体のどこにでもできますが、皮膚のシワに沿うように列状に並ぶのが特徴です。
レーザーなどで表皮を完全に削り取ることで治療できますが、イボ状に部分は凹凸が激しいため、取り残すと再発してきます。できれば切り取ってしまいたいあざです。
下の写真は、下眼瞼の縁ギリギリに生まれつきあったものですが、手術で全切除しました。再発なく、傷跡も目立たず、良好な結果です。

普通の表情の時はあまり目立ちませんが、上方視するなど表情によっては異物が付いているようにも見えて気になります。

術後1ヶ月目。まだ赤みがあります。まつげの生え際で皮膚をT字型に寄せてあるため、多少引きつれが残っています。

術後半年です。傷跡は右の写真のように皮膚を引っ張ってもほとんど目立ちません。

症例: 下眼瞼の脂漏性角化症

黒子を取りたいということで診察したところ脂漏性角化症でした。

下眼瞼の腫瘍は術後1ヶ月くらいで比較的きれいに治ります。

病理所見です。病理組織上も偽角化嚢腫を伴う脂漏性角化症と確認できました。

内反症・外反症

睫毛が内側を向いて目に入って痛いいわゆる逆まつげには、1本ないし数本のまつげが、瞼のグレイライン(結膜と皮膚との間にうっすらと見える細い灰色のライン)より内側に生えている場合(睫毛乱生)と、生えている位置は正しいが方向が外側に向かわず黒目(角膜)の方にカーブしてしまう場合(睫毛内反)、更には瞼の構造そのものが内側にまくれ込んで、睫毛がすべて内側を向く、より重症な場合(眼瞼内反)などがあり、すべてを同一の方法で治療する事はできません。

また、上眼瞼の場合と下眼瞼の場合では、病因や重症度などに違いがある事が多く、なかなか一筋縄では行きません。

「逆まつげ」はふつう睫毛内反症と言います。睫毛内反症に対して眼科で行う簡単な手術は、健康保険で受けられます。
手術には2種類の方法があり、ナイロン糸で留める二重の埋没法のような方法と、切開して皮膚の一部を切除する方法とがあります。縫合法は費用は安いものの効果は限定的です。皮膚切開法は習熟した医師が行えばより安定した効果が望めます。

大江橋クリニックでは自費で切開方を行なっています

埋没法類似の縫合法の場合、糸をかける位置の都合で中央部分は改善できるのですが目頭側と目尻側の矯正が十分にできません。上眼瞼の場合、所謂蒙古襞の内側や目尻のかぶさりの部分で睫毛が内側を向いている方が多く、埋没法ではここに影響が及ばないためです。したがって通常この方法で済む場合はあまりありません。
この症状が出るのはいわゆる一重瞼(ひとえまぶた)で蒙古襞の緊張が強い方が多いように思います。二重のラインで皮膚を切開し、余分な皮膚と眼輪筋を切除しますが、その際に蒙古襞を形成する靭帯を一部切断して緩めたり、目頭切開のように皮膚を入れ替えたり、睫毛の毛根部分を剥離して動きを良くしたりする必要が出てきます。こうした細かい作業は時間もかかり、保険では全く赤字になるので自費で行うことにしました。

下眼瞼の内反症手術

この症状は下眼瞼の眼輪筋の緊張が強く、瞼板の上に乗り上げて睫毛を内側に押すタイプ(若い人、特に子供に多い)と、反対に瞼板を支える靭帯が緩んで内側に倒れ込むタイプ(老人に多い)とに分かれます。
前者は眼輪筋をある程度切除し、特に下方視の際に眼輪筋がずり上がらないように瞼板に固定する必要があり、重瞼切開法の下眼瞼版のような手術になります。
後者は、下眼瞼の瞼板を牽引する靭帯(上眼瞼の眼瞼挙筋に相当)を瞼板から切り離して位置を調整し、内眥靭帯、外眦靭帯の引き締め、瞼板の短縮などを行なって治療します。眼輪筋のボリュームを減らして瞼の前葉と後葉のバランスをとる必要もあり、上眼瞼の眼瞼下垂症手術に似た手術となります。時には軟骨移植などが必要となる場合もあります。
いずれも時間もかかり細かい調整が必要な手術となり、これも相応のコストをいただくべきと考え保険適応をやめました。

眼瞼下制筋前転法の術式が新たに保険適応となりました。高齢の方などでまぶたの筋肉や靭帯がゆるくなり、下眼瞼全体が内側に倒れてしまう時の手術法です。ただし、これは上記の説明のうち腱膜前転のみを行った場合の術式であり、そのほかの調整を加えた場合は保険適応とするのは難しいと考えます。

逆まつげの手術が保険でできる二重の手術だと誤解している方へ

二重にする手術と同じであると誤解して、健康保険で二重の手術を受けようと、特に症状がないのに逆まつげだと言って眼科や形成外科を受診される方が稀にあります。
逆まつげの手術は二重の手術と同じように見えますが、手術に当たって注意するポイントが異なるので、必ずしも美容的に満足できるとは限りません。

実際に診察すれば症状がないことはわかるのですが、わかっていても黙って手術を引き受ける医師もいるかもしれません。
しかし身にやましいところがあれば、万一不満足な結果に終わっても文句も言いづらいでしょう。

美容の手術はきちんと美容目的である事をお互いに合意して行なう事が、無用なトラブルを避けるコツだと考えます。

いわゆる兎眼、あかんべえ状態を改善する手術です。他院での美容手術や腫瘍切除などで眼瞼の皮膚が足りなくなった場合は植皮が必要なこともあります。瞼を支える靱帯や腱板がゆるんだ場合は、筋肉の引き締めだけでなく軟骨移植等が必要になることもあります。

編集中

眼瞼の瘢痕(傷痕)をきれいに治す

瘢痕拘縮形成術

まぶたの外傷やできものの切除後、傷跡が残ったり見た目の左右差がはっきりしてしまった場合などもできるだけ綺麗に修復する手術を行なっています。症例はこの下に追加していく予定です。

症例:フロントグラスによる交通外傷

男性顔面外傷瘢痕術前 大江橋クリニック 男性顔面外傷瘢痕術後 大江橋クリニック

フロントグラスによる多発外傷の瘢痕の一例。救急で縫合され、傷が塞がったので治療終了となったが、皮下に細かいガラス片が多数残っていました。本人の希望で鼻や頬、額の傷は特に治療せず自然経過に任せ、眉と瞼の傷のみ、皮下に残ったガラスを取り除き再縫合して整えました。左目の腫れは、眉の下に大きなガラス片が残り開瞼を邪魔していました。再建した重瞼は時間が経てば右に揃ってくると思います。眼窩骨折による左頬部の陥凹変形は治療していません。

小さな傷痕や水疱瘡の痕、審美的な悩み(重瞼幅の左右差など)の調整は、美容的なものと見なされるため自費診療となります。

他院重瞼術直後の抜糸や修正は原則的にお断りしています。

編集中

他院術後修正の基本的な考え方

他院術後の修正は、積極的にはお受けしていません。最初に執刀した医師が最後まで責任を持つべきだと考えるからです。できる限りもういちど執刀した医師のところに相談に行くようにお勧めしています。希望通りにならなかった理由が、明らかに医師の技量不足である場合(例えば左右の切開ラインが対称でないなど)には、ご相談の上お引き受けすることもあります。


下の症例:最初の重瞼術失敗後、大江橋クリニック受診までに多くの医療機関を転々とされ、十数回の修正手術、10回近くの脂肪注入や切除、人工物の注入と溶解、真皮脂肪・腱膜・人工物等の移植を受けられていました。いつ何をしたかも順序も覚えていない状態でした。丁寧な問診でできるだけ順を追って行われた操作を推定していきました。

瞼本来の組織は眼輪筋も眼窩脂肪もほとんど切除されて残っておらず、複数回移植したり切除したりを繰り返した移植腱膜や腹部の脂肪、人工注入物と瘢痕の無秩序な塊に置き換わっていました。
かろうじて残っていた眼瞼挙筋の断端を見つけ出して修復し眼瞼下垂症手術を行い、異物を可能な限り切除して二重瞼を作成しました。手術は1回のみです。術後1年目の写真です。残った傷跡の修正を提案しましたが、もうこれでいいとのことでした。

症例:最初の重瞼術失敗後、他院で十数回の手術
眼瞼瘢痕他院修正術前 大江橋クリニック 眼瞼瘢痕他院修正術後 大江橋クリニック

他院術後の修正は紹介状が必要です

※ 他院術後の修整手術については、可能な限り執刀医からの紹介状(診療情報提供書)をお送りいただいています。廃院や医師の退職、転居などでどうしても前医と連絡が取れない場合は、その旨ご相談ください。
※ 基本的に自費美容手術の扱いになります。手術費用は難易度により税別50万円〜80万円程度となります。

前医との信頼関係が崩れるなど対応してもらえない場合

前医に対する不信感等が残るなど、執刀医の診察を受けることが困難な場合は、十分にお話をした上お引き受けすることがあります。

原則的に他院手術の修正・左右差の調整などは自費になります。

(重要) 修正手術の際に前医の紹介状を必要とする理由

前医がどのような意図を持って手術を行なったのか、患者さんの希望に添えなかったのは何が原因と考えられるのか、できる限り明らかにする必要があります。通常医師は手術に際して最善を尽くすはずなので、それでもなお意に反する結果が出たからには、何かそうなるべき原因があるはずなのです。
※ 患者さんが知らされている・思い込んでいる手術方法と、実際に行われた手術法が全く違っていたり、医師しか知り得ない特殊な事情があったりすることもあります。

患者さんに十分な説明が行われていなかった症例

こうしたことがあるので、大江橋クリニックでは他の医療機関で手術した患者さんには、手術した医療機関、できれば執刀医から直接の紹介状をお願いしています。

眼瞼手術の概要と経過

  1. 手術着に着替え、準備された内服薬を手術前に飲みます(術後のこともあります)
  2. 手術台に上がって仰向けになり、ポジションをとって準備後、血圧を測ります
  3. テープでマスクや帽子を固定し、写真撮影とマーキングをします
  4. 顔の消毒をし、顔の上に目の部分だけ丸い穴の開いたシーツをかけます
  5. 片方ずつ(通常は右から)もう一度計測してインクで細かく印を付けます
  6. 目尻側の皮膚の表面から徐々に内側に向けて麻酔の注射をします
  7. 印を付けた部分の皮膚をメス切開し、必要な幅を切除します
  8. 眼輪筋と瞼板前組織などを必要に応じて切除します
  9. 切開線の上下に糸を掛けて手術部位を展開します
  10. 必要であれば眼瞼内部で脂肪切除や筋肉固定など様々な処理を行ないます
  11. 目の開き方を確かめてから、切開部を連続縫合します
  12. 通常はガーゼとテープで厳重に圧迫固定して終了します
  1. 手術当日は顔を洗えません
  2. コンタクトレンズは約2週間お休みいただきます
  3. お渡しする内服薬は必ずすべて飲みきってください
  4. アイメイクは抜糸まで1週間程度お休みください
  5. 当日よりも翌日の朝の方がまぶたは腫れます
  6. マッサージやエステは腫れが引くまで行わないでください
  7. 翌日に診察を受けて出血や異常のない事を確認させてください
  8. 腫れや傷跡の赤みは人により数ヶ月続く場合があります
  9. タバコは傷の治りを極端に遅らせますのでお勧めしません
  10. 食事の制限はありませんがアルコールは控えてください
  11. 腫れが引くと二重の幅は徐々に狭くなります

編集中

それぞれの特集ページを用意しました

実際にはさまざまな症状が合併していることが多く、単純な重瞼手術や眼瞼下垂症手術の範疇に収まらない患者さんもたくさんいます。そうした場合もどのような手術が最善の結果を得られるか、ご相談しながら治療を進めています。

交通事故、ケガの後の傷跡や、他の手術の後遺症としての変形、傷跡の修正手術も行います。事故の後遺症などの場合は、これまで治療を受けていた医療機関からの紹介状をいただいています。

いわゆる逆まつげ(睫毛内反症)や瞼そのものの内反・外反症の手術も行います。

<編集中>